Follicular study is a type of transvaginal ultrasound scan that helps to study ovarian follicles to identify the time of ovulation of the egg. As we age, the number of follicles in our ovary gets lower too.
So those thinking of getting pregnant during their late thirties need this scan to maximize the chances of conception. However, the follicular study is much more than just studying the follicles, and it is a much-needed process to check if the ovary and uterus are healthy.

Follicle Meaning?
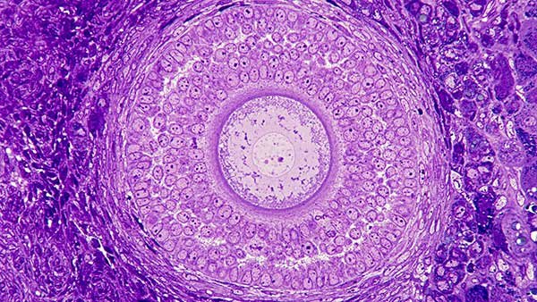
A follicle means a small sac of fluid situated in the ovaries that contains a developing egg inside. There are about 300,000 to 400,000 eggs when girls start puberty. But not all of them mature. Some fade away with time. Every month, a single follicle gets matured, and when it has grown to the right size, the follicle ruptures and releases the egg.
The released mature egg is now ready to be fertilized. This occurs after the first 14 days of starting your menstruation cycle. The follicles play an important role by releasing hormones that trigger different stages of menstruation.
You may like our recent publication on UTI or STD and Bladder Sling Complications if you have any issues regarding urinary infections.

What is Follicular Study?
Follicular study or follicle study is a type of ultrasound done to track the growth of follicles in women’s ovaries. With this follicular monitoring or scan, the doctors can get the exact date of ovulation, which is when the mature egg is released.
This is the most fertile moment of the cycle, with higher chances to get pregnant. By this scan, the doctors can also check the uterine wall thickness to see if it will bear a child in the future. While the transvaginal follicular test might sound scary, this process is completely painless.

Follicular Study Ultrasound Times and Numbers?
Follicular ultrasound is a scan that is done in the vagina to study the uterus lining, uterus, and ovaries. These follicles in ovary ultrasound are done a number of times to study the time of ovulation. It checks the follicles for growth and determines the size of the egg.
The follicle scan helps pinpoint the ovulation time, making it easier to conceive a baby at a natural process. Also, if the patient is going to have an IVF, this scan is necessary. Doctors will suggest the best time of your cycle when it is better to get the scan.

How is a Follicular Study Done?
The most effective way a follicular study is done is through transvaginal ultrasound. In this process, the ultrasonologist will ask you to lay down on your back while your legs are up and bent. The ultrasonologist will then insert a probe into the vagina, showing the image of the follicles and ovaries. Unlike normal ultrasound, transvaginal ultrasound requires an empty bladder.
A full bladder hampers the results. The whole process of the follicular study ultrasound procedure is absolutely painless, but it might be a bit uncomfortable when the probe is pushed inside. Other than that, this only takes a few minutes, and then you are free to go. This scan helps to take a good view of the follicles, and it is better than the ultrasound done above the abdomen.

Who should Get a Follicular Study Done?
Women who are having miscarriages or want to know their ovulation time so that they can try to get pregnant can get the follicular study done. Also, those women who take Clomid, a medication for infertile women, need this study to see if the medicine is helping.
With the help of this medicine, they can get certain hormones stimulated that help them get fertile again. The same thing goes for the women taking FSH, meaning follicle-stimulating hormone. The follicular study helps those women who have miscarriages in the first few weeks of pregnancy.
They can find out the reason behind it through this scan. This is also for those women who have been using ovulation prediction kits. Follicular study is way more precise than any of those kits.

Why is Follicular Monitoring Necessary?
With follicular monitoring, the doctor can look into the follicles and see when the ovulation takes place. Follicular monitoring is necessary if you are over 35 years of age and cannot get pregnant in the last six months of trying.
Also, if you are younger than 35 years and have been trying to get pregnant for over a year and still not having any good news, this test can ensure whether the problem is in the ovulation or not. Also, people suffering from PCOS have irregular periods, and sometimes they do not have any ovulation at all.
The follicular study can check the follicles and see if everything is functioning properly. However, fertility procedures like IVF or IUI will need a doctor to see if they produce multiple follicles.

How Long Does A Follicle Scan Take?
A follicle scan does not take too long like other scans. You will need to give 5 to 10 minutes into this even if the scan is transvaginal. Only the preparations take a lot of time, not the scan. So if you are a working person and worried about taking out time for five or more scans, then do not worry.
Taking an appointment beforehand will save a lot of your time, and you will find everything ready when you go for a scan. You will be finishing the test in a few minutes, and as this is a painless process, you will be good to go soon.

How Many Scans Per Cycle are Carried Out?
Through this test, the doctor studies the beginning state of the follicle and how it grows and then produces a mature egg. So throughout this process, you will have to go through multiple scans to give the doctors all the information they need.
As the menstruation cycle is quite wide this might take 5 to 10 or 8 to 10 scans. By frequent scanning, they can study the development of follicles and determine the exact date of ovulation. Also, this process helps to check the uterus lining, which is important if you are thinking about getting pregnant.

When does a Follicular Scan Have to be Done?
The doctors usually suggest a follicular scan when you are in between 9 to 11 days of the cycle. Tests will continue on every alternative day till the day of your ovulation. So there might be 5 to 6 tests needed in total.
Your gynecologist will decide how much interval is needed between each scan. However, ovulation occurs between 13 to 17 days of the cycle. It only takes five to ten minutes for the test to complete, but this can help a lot. So if your doctor suggests you get tested, go for it.

What should be the Follicle Size for Conceiving?
When the follicles are almost 18 to 20mm in diameter, they are seen as the perfect mature egg that can help conceive. By follicular study, the doctors can monitor the follicle size to check the growth of the egg, and when it ruptures, they can identify the date of ovulation. This process can help increase the chances of pregnancy.
Not all follicles in the ovary will have a mature egg, so not all of them can help conceive a baby. Those who have trouble conceiving go for the IVF process, which uses drugs to stimulate the follicles to produce more eggs.
A hormone injection helps to release the mature eggs from the follicle so that doctors can collect them and complete the fertilization process with sperm to create an embryo.

Are there any Side Effects of a Follicular Ultrasound Scan?
There are no particular side effects of a follicular ultrasound scan. This is a safe test that checks the follicle’s growth to get the exact ovulation date. These tests are mostly for couples who are having a hard time having a baby naturally and need some medical help to conceive.
This test helps to know the exact date of ovulation, which means the exact time you can get pregnant. The only problem this may cause is that the women might only be interested in having sex during this time and not anytime else, which might be a problem for the male libido.

What is the Cost of Follicular Study?
A single sitting for a follicular study might cost you around 10 USD, and you will need about two or five sittings to get the study results properly. The test requires fresh gloves, appropriate PPE, and probe covers so that you do not get infected.
Follicular study is a painless process that helps to study the condition of your follicles and understand your chances of getting pregnant. It is worth the cost and the repeated process as it can help those who are having trouble getting pregnant.

Is there Anything Else that Follicular Scan can Help With?
Besides detecting the ovulation time and monitoring the follicle growth, a follicular scan can help with many more things. The doctor can see the follicles that fail to grow or those that ruptured prematurely even before the egg turned mature. They can also see if the egg has perfectly implanted onto the womb lining.
All these little details help to keep everything on track, so the doctor will know if anything is going wrong right away. The follicular scan is done frequently to record all the minor changes before any big problem takes place. For those who have difficulties conceiving a baby or frequent miscarriages, this scan gives them hope and a higher chance of conceiving a baby naturally.

Success Rate of Follicular Study
The follicular study might sound all fancy, but no one should forget that the success rate of this study is only ten percent. When the doctor suggests this test to a couple, they do not think about the couple’s stress because of this test.
It might affect the marital relationship of a couple. So the experts suggest taking the test for a single cycle to figure out the ovulation time period and ensure that the womb lining and other factors are healthy. After that, they can correlate the ovulation signs like ovulation pain and vaginal discharge and figure out the ovulation date all by themselves.
Tracking ovulation at home can help raise the chance of pregnancy more than probing the follicles for tests and scans too often.

Can Follicular Study Confirm Pregnancy?
The follicular study helps to study any active egg in the follicles so that they can see when the ovulation takes place in the ovary. This might not confirm pregnancy, but this can help identify the date of ovulation, so you can try to get pregnant according to that.
This way, you have more chances to get pregnant with natural fertilization. Also, this scan can help understand the follicles and determine the best time to extract an egg for fertilization if any fertilization treatment is needed.

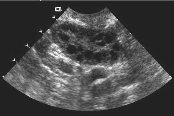
Follicle Study Ultrasound Images
Follicle study ultrasound images help to study the condition of the follicles, uterus, and uterine lining. With the help of a transvaginal follicular scan, the doctors can see the ruptured follicles and also the ones with matured eggs.
This process takes a few minutes and will help sort out any problems related to the ovaries. Women who suffer from PCOS need this scan to see if the medicine they use is helping the follicles or not.

Follicular Study TVs
Follicular study TVs is the common and the most effective way to study the ovulation process and the follicles. The TVs stands for transvaginal scan, not the pelvic scan or the abdomen ultrasound that you already are familiar with.
A transvaginal ultrasound helps to study a woman’s uterus, tubes, ovaries, cervix, and also pelvic area. An ultrasound probe will be placed through the vagina to check the uterus and the follicles in this process. This transvaginal process takes only a few minutes and is completely painless.

USG Follicular Study (what and why need)
The USG in usg follicular study stands for ultrasound sonography test. It is a kind of imaging procedure where you can use ultrasound to create an image of the uterus and ovaries. The transvaginal usg follicular study helps to study the growth of follicles and check if anything has gone wrong.
The whole intention is to monitor the ovulation process, and if anything gets wrong, the doctor can give necessary treatments as soon as possible. Even the smallest follicles can be seen through this ultrasound scan which is why most doctors recommend this.

MSF in Follicular Study
MSF in a follicular study is quite common. It might occur in the right or left side of the uterus. However, MSF means multiple small follicles, also known as antral follicle count. By the follicular study, the doctor can study these small follicles and see if they can produce any mature egg for ovulation or not. Also, if they cause problems in the ovary, the doctor can start the necessary treatments.

On which Day Follicular Study should be Done?
Usually, the follicular study is done several times throughout the cycle till ovulation takes place. The doctor starts between the 9 to 11 days of the cycle and afterward takes about 5 to 10 scans until ovulation occurs.
The tests do not take much time, and it is absolutely painless. So taking these tests is not a big issue. Follicular tests help study the growth of the follicles and pinpoint the ovulation date. It can also find out the reasons behind not conceiving and having miscarriages.

What is ET in Follicular Study?
Follicular study is not limited to only studying the follicles and the egg being matured. It also scans ET, meaning endometrial thickness. The endometrium is the womb lining that needs to be in a specific thickness to hold a baby. In most cases, the thickness should be 7mm or above this to have a successful pregnancy implant.
Studies show that the thickness increases during the follicular phase of the menstruation cycle and peaks during ovulation. Besides the follicle studies, endometrial thickness plays an important part in conceiving a healthy baby naturally.

Follicle Growth Chart
The doctors can create a follicle growth chart according to their reports in their 5 to 11 follicular scans. This chart will show all the details of how many follicles started to grow and which one had ruptured and released a mature egg.
Specific dates of the ovulation can also be highlighted there. This chart can help the patient in the upcoming cycle if they want to try to conceive a child naturally. A follicular scan studies the ovulation and studies the follicles that failed or ruptured prematurely, so having a follicle growth chart can be helpful for both the patient and the doctor.

How many Follicles are Normal?
It is not easy to count the follicles in a human ovary. But the doctors have found a way to use a follicular scan to check on the follicles to see how many of them have healthy growth and, in the end, rupture a mature egg. A follicular scan does not show how many follicles one has left but gives an idea about it which helps them in family planning.

Follicle Tracking for Trying Conceive
Those who are having trouble conceiving a baby are suggested to get a follicular scan. The follicle tracking while trying to conceive helps identify the ovulation date so the couple can try to conceive during those days.
Also, women above 30 or 35 need this scan to check how many follicles they have left that can get them pregnant. Doctors can suggest drugs that can help these women conceive while also having solutions for those who have PCOS problems.

What are Ovarian Follicles?
Ovarian follicles are small fluid-filled sacs found in women’s ovaries. There are more than hundreds of follicles in the ovaries. Each of these follicles holds an immature egg in them. When this egg matures during the menstruation cycle, the follicle releases it from the ovary so that it can get fertilized. Ovarian follicles help to check, diagnose and treat infertility.
How Long does Follicular Study take?
The follicular study does not take longer than fifteen to twenty minutes if you cooperate with the professionals and the doctor. However, the preparation for follicular study takes almost an hour.

What size should a Follicle be to get Pregnant?
A follicle should be about 18-20mm in diameter when ready for egg collection. Sometimes doctors use a hormone trigger injection that will stimulate the follicles to release mature eggs that are already there in your follicles. This can help you get pregnant.

How many Eggs will there be in a Follicle?
During the normal menstruation cycle, the follicle has one single egg in it. The follicle will keep growing till the egg is matured and ruptures ovulation. After that, it will release the egg. This takes place after the first 14 days of your menstruation cycle. The egg in this stage is also known as the oocyte and ovum.

How many Follicles is Normal?
It is almost impossible to count follicles, so it is not easy to say how many follicles are normal. However, several follicles start to develop during each cycle, but only a single one can release an egg. The others start to deteriorate. With a transvaginal follicular study, the doctor can study the ovulation and the state of follicles in the ovary.

Will all Follicles Release an Egg?
Yes, most of the follicles can release eggs. However, whether that egg is good for fertilization or not cannot be assured. Also, if you have Luteinized unruptured follicle syndrome, a dominant egg follicle is not ruptured. But if you have regular menstruation cycles, you have regular ovulation, and there is nothing to worry about.

How many Follicles are Left at 30?
When girls start puberty, they have about 300,000 follicles which gets less as they grow up. By the time they are 30, there are about 100,000 – 150,000 follicles left. As you turn 35, it will come to around 80,000. After that age, when you are in your late thirties, you will notice the follicles will be around 25000 or 10000 or even less than that.

What happens to my Follicles during IVF?
During IVF or In vitro fertilization, your ovaries are usually stimulated to grow and produce more mature eggs. By doing transvaginal ultrasounds the doctors can study the follicles and see if they have grown into the right size. This study helps study the fertilization process.

What is Polycystic Ovarian Syndrome?
Polycystic ovarian syndrome or PCOS is a common problem among ladies these days. It is a condition that affects the ovaries function in women. There are many symptoms of this syndrome, and the most common ones are irregular periods, obesity, and so on. The irregular periods happen due to the ovaries not releasing eggs regularly.
It happens because of a cyst on the ovaries or male hormone present in the body preventing the egg from being released. It is quite common among women, and most of the time, they do not face any problem having a baby. But if some face any problem there are solutions for that too.
How do follicles relate to my chances of having a baby? Can my follicles be affected by IVF?
When you are having a baby at an early age, you already have a lot of follicles which means that you have more chances to release healthy eggs that can get you pregnant. However, as you age, the number of follicles decreases.
Follicles are not supposed to be affected by IVF unless you have Ovarian hyperstimulation syndrome, which means that your ovaries are sensitive to stimulation. As a result, they will produce high levels of oestradiol, large numbers of follicles, and eggs.

More Questions about your own Fertility?
So if you have any more questions about your own fertility, you must get your follicles checked. Talking to a doctor will help you out with your fertility and family planning process. Also, if you have irregular periods, you should consult the doctor as soon as possible.